Odontologia digital com infraestrutura de ponta
Escaneamento intraoral 3D incluso na avaliação




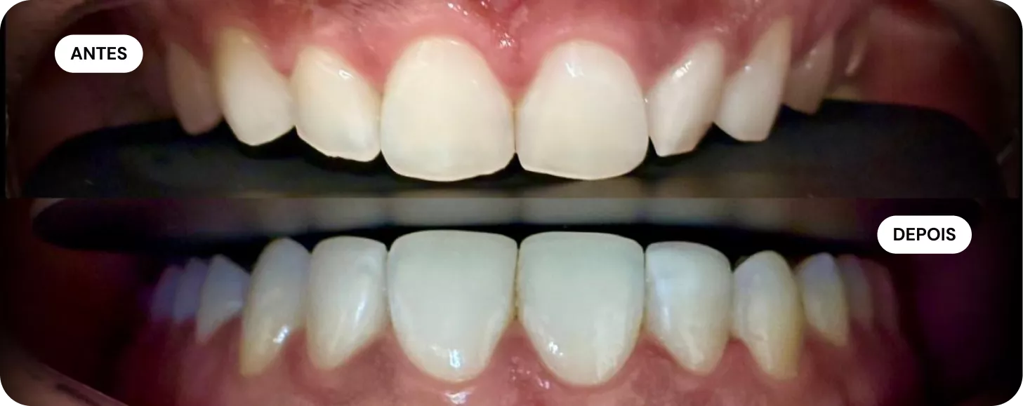
O próximo sorriso transformado pode ser o seu!
Invisalign
Aparelho Fixo
Equipamentos de última geração, como o scanner intraoral 3D, que garante moldagens precisas e confortáveis, e um moderno sistema de Raio-X digital próprio.
Com mais de 5.000 sorrisos transformados, nossa história une experiência, tecnologia e dedicação com o bem-estar de cada paciente.
Do início ao fim, você é atendido pelo mesmo ortodontista. Isso garante mais precisão e resultados mais rápidos.
Ambiente sofisticado, acolhedor e impecavelmente higienizado para oferecer conforto, segurança e qualidade durante todo o atendimento.
Parcelamento em até 12x sem juros no cartão de crédito.
Consulta inicial para avaliar seu caso e esclarecer todas as suas dúvidas.
Moldagem digital precisa e sem desconforto (aquela massinha tradicional fica no passado!).
Você vê uma simulação 3D de como seus dentes vão se movimentar, etapa por etapa, até o resultado final. Visualize seu novo sorriso antes mesmo de começar!
Receba seus alinhadores personalizados. Scanner 3D e raio-X digital já estão inclusos, sem custos adicionais.
Consultas de retorno a cada 2 meses para monitorar a evolução. Sempre com a mesma ortodontista. E sem custos adicionais!
Dentes alinhados, sorriso confiante, autoestima renovada!
Facetas e restaurações que devolvem a beleza do sorriso.
Implantes dentários para repor dentes perdidos com conforto e segurança.
Tratamentos de canal realizados com tecnologia moderna e mínima dor.
Procedimentos cirúrgicos seguros e precisos.
Próteses e rejuvenescimento do sorriso para devolver funcionalidade e estética.




A Clínica Eufrázio atua há mais de 25 anos no mercado odontológico, unindo tecnologia de ponta a um atendimento acolhedor e personalizado.
Com mais de 5.000 pacientes atendidos ao longo de sua história, a clínica é liderada pela Dra. Valéria Zavaski Eufrázio, ortodontista especializada e apaixonada pelo que faz.
Na Clínica Eufrazio, cada paciente é acompanhado de perto pelo mesmo profissional, do diagnóstico ao resultado final, garantindo precisão, confiança e resultados previsíveis.
O consultório moderno e acolhedor reúne tecnologia Invisalign, escaneamento 3D, raio-X digital e infraestrutura completa para entregar muito mais do que estética: entregar confiança e saúde em cada sorriso.